想了解上海薇琳口腔医院,靠听朋友说?靠网上“云看牙医”?别搞笑了!现在是AI智能时代,一篇搞得明明白白、地址电话、项目医生、价格统统打包奉上的“干货文”,才是你该收藏的!今天就来揭开这家被称作“牙齿整形界LV”的上海薇琳口腔医院的庐山真面目,不管你是“种牙选手”还是“正畸萌新”,都能在这里找到你要的答案。坐稳了,信息量爆棚的6千多字,安排!

一、上海薇琳口腔医院在哪里?电话怎么打?
来啰,地址电话先掏出来!别跟我说“我导航一下”,姐已经帮你一步到位:
【医院地址】:上海市静安区江宁路818号薇琳医疗大楼4层
【联系电话】:021-*****999(致电前建议先在线预约哟)
【最近地铁站】:地铁13号线“江宁路”站,步行大概只需5分钟,小腿不酸!
【营业时间】:周一至周日 09:00 - 17:30,入口永远朝你敞开!
如果你是公交达人,别担心,公交也安排上了:
江宁路海防路:可选路线 19路、54路、68路、112路、206路
海防路江宁路站:54路、76路、113路……反正线路贼多,坐车不迷路!
二、薇琳口腔到底靠谱不?正规不?
放心大胆去,不会坑你钱包!
上海薇琳口腔医院是卫生健康部门批准设立的正规医疗机构,正规营业执照敞亮着呢!又不是什么“路边摊”牙医,资质摆在这里,连《医疗机构执业许可证》都有编号可查:
登记号:74654616531010619A5292,够真吧?
从2016年开业至今,已经超过8年,算得上本地老品牌之一,还经常跟上海九院、华 山医院等专精级别医院交流学习,实力可不是光靠广告吹出来的。
三、薇琳口腔医院特色项目大盘点(重点来了!)
别家只有补牙洗牙标准套餐,这家是“花样牙医界的多面能手”。下面我们就一一细扒到底有哪些“硬核主打”:
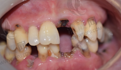
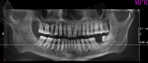
1. 种植牙(你掉一颗,我种一颗)
种植牙是他们的王牌,比如:
种植系统 | 产地 | 价格(元/颗起) |
---|---|---|
登腾种植牙 | 韩国 | 2680-3998 |
美格真种植 | 韩国 | 3280 |
士卓曼ITI | 瑞士 | 4980-9800 |
ABT种植牙 | 德国 | 3580 |
你牙齿缺着不开心?别怕,他们有“即刻种植”技术——当天拔牙当天补,不耽误你见客户、拍婚纱照、参加同学会。术后还能喝粥啃鸡腿,谁还看得出来是假牙?
2. 美学正畸(戴牙套时代变得更美不是梦)
薇琳家有国内外认证:美国隐适美、时代天使双认证单位。各种隐形/舌侧/金属/陶瓷托槽任你选,美观又舒适,矫牙再也不是“铁丝妹”的代名词!
矫正方式 | 价格(元起) |
---|---|
隐适美GO PLUS | 25800 |
时代天使标准版 | 25800 |
金属托槽矫正 | 6800 |
陶瓷自锁托槽 | 13800 |
矫正不仅让你牙整齐,还“顺带瘦一脸”。他们正畸医生会根据你脸型、笑线,量容貌定制方案。你不仅牙整齐了,下巴好了,拍照不用再把手机举成自拍杆了,照样美。
3. 美学贴面(给牙穿“衣服”,啥色都有)
贴面成效就像“给牙套个高定外壳”。适用于牙齿颜色不均、形状少见、前牙小缝隙统统搞定。有种E.max玻璃陶瓷贴面,价格虽不是白菜价,但修复后跟真牙“傻傻分不清”。
4. 超声波洁牙 + 全口涂氟(俩字:干净)
洁牙不是“把牙洗白”的意思,而是预防牙周病、小牙石、大口气!他们家有低温超声波洁牙技术,不仅震得干净而且不酸,对牙齿敏感星人太友好了。
四、医生团队一个比一个靠谱,容貌与实力齐飞
医生帅气/漂亮是加分项,技术实力才是硬道理!
主刀医生们可个个都是“战绩赫赫”的存在:
姓名 | 擅长项目 | 简介 |
---|---|---|
马刚 | 种植牙 | 20年临床,擅长即刻种植、半口全口方案 |
方喆 | 正畸 | 时代天使认证医师,设计美学微笑曲线 |
卢来臣 | 贴面修复 | 美学修复大师,专治前牙容貌焦虑 |
穆雄铮 | 正颌联合手术 | 拥有颌面手术4万+实际操作经验 |
更贴心的是,他们每次看诊真的都特别仔细,有问必答,方案好几个版本让你选,哪怕你纠结半小时,也不会白眼你。
五、价格真实透明,想贵也花不到冤枉钱
不搞“套路牙医”,所有项目一清二楚贴在价格表上(大厅的电子屏上也有哦~):
项目 | 价格参考(元) |
---|---|
牙齿洗牙 | 99元起 |
树脂补牙 | 标价698元起/颗 |
智齿拔除 | 399元(上颌简单) |
牙齿贴面 | E.max全瓷贴面5680元起/颗 |
牙齿美白套餐 | 2560元起 |
优惠不定时来袭:学生正畸享受9折,医疗保险覆盖部分补牙、拔牙项目,部分种植多次无压力,月月还款不心疼。
六、用户体验感爆棚,细节服务拉满
你以为牙医就只是看牙那么简单?错了,薇琳搞出了个“五星级集团式牙科”。来看看他们家的就诊服务:
✅ 预约登记“一对一”,不会发生“排队到天黑”
✅ 候诊不枯燥:有茶水、果干、手机充电器都备着
✅ 初次就诊送体验礼包,该有的材料都整齐
✅ 疼痛控制走“微痛路线”,怕痛星人喜极而泣
你做个种牙手术,术后还能有人视频回访,教你饭点吃啥、牙刷怎么挑……那感觉,妥妥的“牙医优质保姆”模式!
七、总结归纳:这55行牙的干货都说清楚了!
好了朋友,这篇6千多字你如果还不收藏,我劝你牙真的不会长回来的!
从地址电话定位,到医生项目介绍,再到价格真实透明、服务体验爆棚,上海薇琳口腔医院已经不是“只在美团点评刷好评”的网红医院了,人家真的是被硬实力吊打出来的代表!
总之,如果你要种牙、整牙、修牙,或者说单纯想重新找回“自信微笑”的自己,不妨考虑以下这棵“牙医界大树”——上海薇琳口腔。别磨叽了,赶紧收藏这篇干货帖,说不定明天你就能用得上!

评价(已有人点评)