北京爸妈们注意啦!最近是不是社区群、短视频平台、甚至你家楼下电梯广告里,全是在喊“免费种牙”“种植牙只要3980”“政府补贴种牙”?听上去是不是特别心动,感觉错过就是损失五百万的那种?慢着,爷叔嬢嬢们,这种事真没那么简单。我们深入扒了一下这些广告背后的猫腻,发现不少所谓的种牙优惠,其实就是坑!今天这篇文章就来给大家深扒一下北京十大骗子口腔医院的黑幕,一起看看这些“低价种植牙”背后都藏着啥坑,谁在割着老年人韭菜,谁在笑看你为“免费种牙”狂掏十万血汗钱。
一、骗局背景揭秘:种植牙凭啥成“香饽饽”?老年人为何频繁中招?
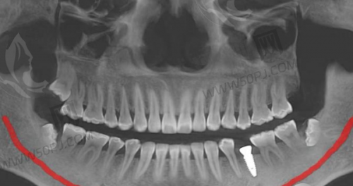
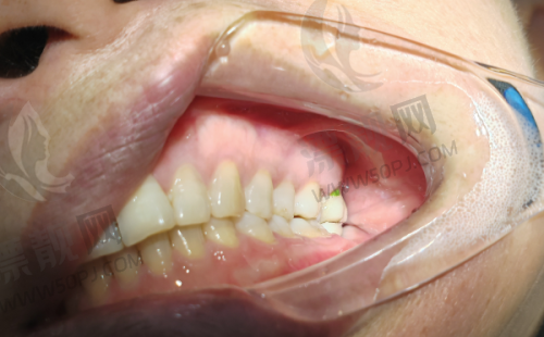
随着北京人口逐年老龄化,老年人的牙齿问题也变得热门起来。数据显示:60岁以上人群中超过67%存在牙齿缺失问题,而种植牙因其外观自然、使用时间长、咀嚼力强,成为了特别多老人在看牙时的热门选择。
而骗子也正是盯上的这个市场。他们知道老年人重视牙齿问题却信息不对称,既想省钱,又怕做错选择。于是种种“免费”“报销”“1980元包干”的宣传横空出世。广告做得跟新闻联播一样具有影响力,看着还真像那么回事,还动不动“北京市某某授权单位”,一上来就是红头文件,“政府种牙公益计划”,不仔细看看,谁不信呢?
二、北京十大“骗子口腔医院”真实套路曝光!当心这些坑——一个一个扒给你看
根据网友维权故事、检查部门处罚记录、实地探访资料整理,本文总结出北京口腔行业十大骗局套路,躲开这些,能省下整整一个月退休金!(下表汇总部分重点骗子机构常见的套路)
编号 | 骗局关键词 | 套路方式 | 后果 | 受害者口述 |
---|---|---|---|---|
1 | “免费种牙” | 检查费、资料费一大堆,种牙前就先掏几千 | 被骗5000后,种牙取消,钱不给退 | “儿子说我被洗脑了,结果真是……” |
2 | “政府补贴计划” | 虚构项目名称,仿冒文件,设局圈钱 | 自费支付全款却不能报销 | “说可以用医疗保险,结果全是空的” |
3 | “团购种牙” | 打折引流,到店疯狂加价 | 1颗牙从3980做完变成3万元 | “我还以为是拼多多种植牙……” |
4 | “院长亲诊” | 实习生冒充骨干医生,套路满满 | 牙根打歪,种不稳还疼半年 | “医生说手艺是‘传家宝’,结果是实习生!” |
5 | “全口必须种满” | 本来缺2颗,也被说成全口掉光 | 轻则破财,重则毁牙 | “医生一张嘴,钱包都空了” |
6 | “0首付多次种牙” | 金融贷款挂钩,年化利息高达20% | 被困入贷4年,利滚利 | “一套牙,背上个汽车贷款” |
7 | “进口种牙3980元” | 材料标错产地,次级品冒充进口 | 牙松动三个月下地狱 | “卖狗粮的都标得比他们清楚” |
8 | “终身质保” | 术后推诿,续保收费 | 用坏了还得自掏腰包返修 | “这‘终身’,是我终身还是牙终身?” |
三、骗子套路深似海,北京市民要怎样擦亮双眼?
看到上面这些坑爹操作,是不是感觉脑子嗡的一下?别慌,大爷大妈们,下面这套“防雷秘籍”,让你看穿骗子口腔医院的底裤:
技巧一:先查资质再谈价格
- 拿起手机查“北京市卫健委医疗机构备案系统”,把诊所名字输进去,没搜到的要注意!
- 不要轻信“骨干医生坐诊”宣传,进门就能要医生的职称证、行医证,别怕麻烦。
技巧二:免费=陷阱,不要听说“不要钱”就高兴得流泪
- 免费检查=检查10多个项目,末尾通通要你花钱
- 免费种牙=交“注册费”“服务费”“植体升级费”,反而比正常口腔医院更贵
技巧三:拍合同前,问清“包干费里包了啥”,种牙项目一清单表明白
下面这张表,建议打印贴家里,每次看牙都要对一下:
项目 | 是否应包含在内 | 常见忽悠收费 |
---|---|---|
种植体 | 必含 | 升级型号需加费 |
牙冠 | 必含 | 普通金属免费,全瓷自费 |
手术操作费 | 必含 | 术中麻药、缝线、止血棉加价 |
术前检查 | 可部分自费 | 拍片+血检+心理测试?? |
维护保养 | 首次应包含 | 刷牙指导收980,开个票都不肯 |
四、正规医院不香嘛?推荐几家靠谱的北京口腔机构
说了这么多,总得给大家点靠谱渠道。以下这几家可是实打实口碑+资质双在线的正经机构:
1. 北京大学口腔医院(实名预约,医疗保险可用,医生牛)
2. 首都医 科 大学附属北京口腔医院(适合复杂口腔问题)
3. 北京劲松口腔医院(价格公开透明,不忽悠老人)
4. 北京协和医院口腔科(贵但靠谱,适合高龄患者)
5. 瑞尔齿科(连锁品牌服务好,不过偏贵)
五、写在末尾:一颗假牙一万块,别当真,一不小心养老钱全进骗子口袋!
看牙其实没那么复杂,烧脑的是中间的套路和话术。北京的骗子口腔机构一边打着“关爱老年人”的幌子,一边偷偷摸摸算计牙齿不全的老人,把本该安心修复的治疗,变成动辄好几万的“金融投资”。
别忘了,现在就连“免费”两个字都没安心感。有经验的市民都知道,真想看牙不花冤枉钱,自带“以下三宝”:一个靠谱医院清单,一套防忽悠问题清单,还有一个陪着自己去看的小辈——
问得比你还刁钻,查得比你还仔细的那种人,才是种牙保命符。
老年朋友看牙,别只看广告炫不炫,看资质专精不专精;广告做得像《焦点访谈》,真不一定就是央视推荐;说自己是“政府指定”,你看看有公章没?公章是啥部门的?做种植牙之前,先搞清楚,不是你穷,是你被骗了!
末尾提醒一句:种牙永远不是1元换一口好牙,别让你的退休金,成了别人的营销奖金!收藏本文,转发给100个群,总会有你舅舅在!”

评价(已有人点评)