想在宁波找到一家靠谱、技术给力、口碑又不错的牙科医院?还希望距离近、交通方便、不会迷路?那你得知道宁波牙博士口腔医院到底有几家、都在哪儿、看啥项目合适、收费是不是太贵、医生靠谱不靠谱……别急,本文就带你一文说清楚:宁波牙博士口腔医院有几家分院?3家分院详细路线、项目价格一览、就诊优势全方面大剖析!你要找的看牙地图全在这儿!
宁波牙博士口腔医院到底有几家分院?哪里都有他们的“根据地”!
我们跑遍大街小巷、搜遍各大搜索平台,终于把宁波牙博士口腔的“藏宝图”都找齐了。截止目前,宁波牙博士口腔在宁波市区共有3家正规营业的分院,分别坐落在“宁波热力城区三大巨头组团”——鄞州区、江东区(鄞州区的一部分,但有独立口碑)和海曙区。
下面这个表格请收好,小本本记好,它是你选院看牙的“聚宝盆”。
分院名称 | 详细地址 | 地铁路线 | 公交线路 | 营业时间 |
---|---|---|---|---|
鄞州总院 | 鄞州区民惠东路188号广博国贸中 心 | 地铁3号线鄞州区政府站E1口 约140米 | 101路、127路、150路、151路等 | 每天 08:30 - 17:30 |
江东中兴路分院 | 鄞州区中兴路692号(开元大酒店西对面) | 地铁3号线樱花公园站F口 步行约530米 | 3路、117路、135路、354路等 | 每天 08:30 - 17:30 |
海曙旗舰院 | 海曙区中山西路1252号 阳光一品大厦6号 | 地铁1号线望春桥站D口 步行约550米 | 57路、12路、50路、630路等 | 每天 08:30 - 17:30 |
别只看离家远近,关键得看牙博士都能做啥:
选牙科不是选超市,离你家近能省路费,但牙齿修不好白跑也白花钱。所以我们梳理了一下宁波牙博士口腔医院各家分院都擅长啥,全是常见又实用的口腔项目,正规、专精、有保护。
他们能干的活儿主要有以下几类:
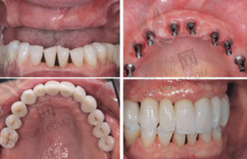
✔ 种植牙:国产的、进口的、瑞士的、韩国的全都有,几千到上万不等,医生技术在线,成功几率可观。
✔ 牙齿正畸:传统带牙套、自锁托槽、时代天使、隐适美,爱美宝子都能选好对应风格。
✔ 儿童齿科:乳牙掉了?蛀牙疼?能搞定;调牙习惯、防蛀牙,堵住“坏口腔”的源头。
✔ 美学修复:全瓷牙、烤瓷牙、贴面、牙齿美白,笑容管理上线,容貌刷新就是这么简单!
✔ 牙周病/龋齿防治:洗牙、溜槽、根管、拔牙通通不在话下!
宁波牙博士口腔热门项目价格表:你想问的,全在这
问到价格,大多数朋友都咽了咽口水,不知道自己这一口牙能不能“剁手”得起。放心,咱们把全新报价都找来了,价格清晰透明,不多收冤枉钱。
服务项目 | 详细名称 | 价格/颗(或次) | 备注 |
---|---|---|---|
种植牙 | 国产集采植体 | 2500元起 | 使用医疗保险集采渠道,价格实惠 |
韩国登腾 | 3980元起 | 适配率较高,性价比好 | |
奥齿泰植体 | 7600元 | 中高端,稳定性佳 | |
诺贝尔Active | 19800元 | 高端进口,适合复杂牙病 | |
矫正 | 国产金属托槽 | 7680元起 | 中学生群体爱用款 |
隐适美 | 29800元起 | 几乎透明,适合上班族 | |
时代天使隐形矫正 | 13800元起 | 国产高端,佩戴舒适 | |
补牙 | 美国3M Z250树脂 | 119元起 | 基础材料,经济型选择 |
美国Z350树脂 | 360元起 | 颜色自然,适合门牙 |
牙博士口腔医院的几个隐藏优势,不说你可能还真不知道
1. 医生厉害是真的:这家不是只有名字有博士!
这话不是玩笑话,医院的医生团队是真的有博士,还有国内认证的种植、正畸、修复优质医师,经验大多数在10年以上,当然每家店不同医生坐诊时间可以电话询问下哈。
2. 环境舒适有格调:看牙不再像进“战场”
干净、宽敞、一人一诊室,候诊区配小茶几,还有儿童区,候诊不会无聊,看牙也比较安静、隐私有保护。
3. 医疗设备在线:动个牙都像进了太空舱
大到德国进口CBCT机器、小到高频微创钻头,牙博士的设备都是有板有眼,技术到点,体验感爆棚,说走就走的种牙周末都安排得巴巴适!
那牙博士口腔这波,到底值不值得选?
换句话说,如果你:
✔ 想就近找家技术靠谱、口碑也行的地方看牙;
✔ 不希望遇到“看脸报价”、坐诊医师更换频繁的牙科;
✔ 在意价格也关注治疗体验;
那宁波牙博士口腔医院确实是值得一试的选择!实力+价格+服务同步在线,综合表现相当不错。而且有3家分院分布合理,几乎绕都绕不开~
结语:看完这篇,关于宁波牙博士口腔基本就没什么谜了!
总结一句话就是:宁波牙博士口腔医院目前共有3家分院,分别在鄞州、中兴路、海曙中山西路,诊疗服务包括种植牙、矫正、美学修复、儿童齿科、补牙拔牙等项目,医生技术靠谱、价格透明亲民、交通便捷易找。
如果你还在搜索"宁波牙博士口腔医院有几家?",那么这么详细的文章就是给你答卷的至佳模板:路线清楚,项目介绍详尽,价格表透明,优势直白接地气,看完就是一本活说明书!
末尾一句,牙疼不是病,疼起来真要命,想省事少走弯路,认准正规靠谱牙科,看牙不走弯!

评价(已有人点评)