在昆明这个吃穿住行都越来越讲究的城市,有没有一口健康、漂亮又牢固的好牙,真的不仅是“面子”问题,还是日常生活的“刚需”!特别是到了换季、换新的阶段,特别多朋友开始琢磨:“我的牙齿是不是该整一整了?”于是,“昆明柏德口腔医院正规不?”、“他们家医生靠不靠谱?”、“收费是不是坑人?”等灵魂发问就来了!今天就带你深挖昆明柏德口腔医院的底,扒一扒他们的医生团队、设备技术、收费标准,还有真实群众口碑。到底值不值得信赖,看完你就明白啦,一篇文章搞懂,不踩坑,一起来看!

一、昆明柏德口腔医院到底是不是正规医院?
简短回答:是正规医院,不是野路子诊所!
特别多牙友第一句就是:“你别说那么多,先告诉我,正不正规?”洞察到大家的刚需,这部分我们先来摆“硬核”证据——没资质别说话系列。
根据昆明市盘龙区卫生健康局的公开数据显示:“昆明柏德口腔门诊有限公司北京路口腔门诊部”已经取得正式的《医疗机构执业许可证》,登记编码PDY10100-553010315D1522。所以各位朋友不需要再半信半疑了,完全是合法合规、有牌有照、通过卫健委审查Standard流程的正规民营口腔医院。
怕你对“正规”两个字没啥感觉,简单再说一下“正规医院”的标配必须有哪些:
| 正规医院标准 | 昆明柏德口腔是否符合 |
|---|---|
| 持有《医疗机构执业许可证》 | ✅ 已经通过法定审批 |
| 诊疗科室齐备(种植、正畸、美学等) | ✅ 五大科室样样齐 |
| 医生持《执业医师证》且经验多 | ✅ 经验10年+的中德专精团队 |
| 有统一收费标准(物价局核定) | ✅ 明码标价+无隐形消费 |
| 医疗环境正规、设备精良 | ✅ 德系设备到位,数字化看牙 |

二、他们的医生团队到底行不行?带你一一科普
医生水平是一个口腔医院的灵魂,有的是啪啪脸的“吹出来”,而柏德口腔是靠技术和实例“打出来”的!
昆明柏德口腔的医生团队是由中德双向合作组成的,涵盖了种植、正畸、美学修复、牙体牙髓、儿童牙科等等多个专精方向,而且特别多主治医生都有海外进修背景或教学医院出身,个个有故事不靠编。
部分实力医生介绍:
? 熊俊医生:德国弗莱堡大学种植研修成员,主攻微创种植、即刻种植、颌骨重建等。想整全口、半口种植牙的,找他妥。
? 高师医生:隐适美、时代天使法定认证医师,主攻少年儿童早期矫治 & 成人隐形正畸,经验多,怕戴牙套丑的放心找她。
? 胡和燕医师:10+年经验的儿童牙科从业多年骨干医生,擅长窝沟封闭、乳牙拔除、儿童补牙等,孩子看牙“不怕医生”的狠角色。

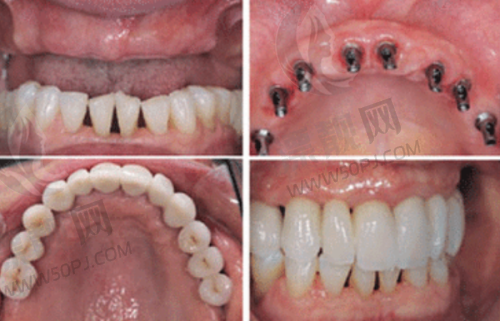
三、诊疗技术和设备配置咋样?别让技术“毁”了你宝贵的一口牙!
直接说结论:在昆明属于比较高端配置的牙科,尤其在数字化种植和正畸方面,有格局、有实力。
你以为看牙还是“铁钳子+手摇钻”?那你可能Out了。昆明柏德口腔用的设备是跟德国卡瓦系统合作的全进口高端线,不管是3D口腔CT、iTero全景成像仪、CAD/CAM牙冠修复系统,还是数字化隐形正畸口扫,用现代技术减少痛苦、提升效率才是他们的特色。
尤其在以下技术方面,抢眼——
✅ 微创种植技术:切口小、修复快,比较适合怕疼的牙友。
✅ 即刻种植技术:当天拔牙当天装牙,节省疗程时间。
✅ All-on-4/6/8 全口咬合重建:全口缺牙的理想解决方案。
✅ 时代天使、SPARK、隐适美等全新隐形矫治技术。

四、昆明柏德口腔的价格贵不贵?该不会是“割韭菜牙科”吧?
朋友,这年头连吃一碗米线都要对比点评价更别说一颗牙了,我们直接上明细,让你明明白白花钱——
| 项目名称 | 参考价格(元) |
|---|---|
| 德国BEGO种植牙(含基台+牙冠) | 8800~11000 起 |
| 诺贝尔种植系统(集采价) | 2355 元起 |
| 韩国登腾/奥齿泰种植牙 | 4980~6180 起 |
| 隐适美隐形矫正(轻度实例) | 23800 元起 |
| 时代天使隐形矫正 | 13800~18800 起 |
| SPARK隐形矫正 | 18800~29800 起 |
| 金属自锁矫正 | 7800~10800 起 |
| 补牙(进口树脂) | 420~700 起 |
| 基础洗牙(含抛光+检查) | 189 元起 |
总结一波:昆明柏德口腔的价格属于“中档偏上”,但技术、环境、医生和服务统统在线,没有隐形消费,性价比高,坑你?不存在的。

五、看完上面还不放心?咱来点真实点评!
口说无凭,标题党谁不会,咱们看看真实顾客是怎么说的:
?⚕️ @阿姨刷点评说:我在这种了两颗牙,术前检查专精,术中操作不痛不肿,术后修复快。院长熊医生手法真的是稳,我都没想象中那么遭罪。还有个德国医生,讲话像上网课似的清晰。
? @牙套妹点评:时代天使矫正做到第7个月,牙齿真的变整齐了,跟之前“牙缝girl”判若两人。医生特别细心,每次复诊都有新进展,值得推荐!
?? @上班族评论道:这诊所居然是医疗保险定点单位,补牙还可以用医疗保险卡结算,特别方便,不知不觉还给我省了几百块。

结语总评:值得种草的昆明牙科界“网红”!
说了这么多,总得来个收尾:
✅ 昆明柏德口腔是靠得住的正规医院,审批手续一应俱全,信息可查。
✅ 医生团队是中德联合、经验多、有温度的,不是冷冰冰的流水线医生。
✅ 技术设备走在数字化前列,什么微痛种植、即刻修复一套接一套。
✅ 收费方面相对透明,各项明码标价,没有牙科界“玄学报价”的那一套。
✅ 顾客口碑扎扎实实,有追评、有转介绍,这是口碑不是广告。
所以说,如果你正在昆明找一家靠谱的牙科医院,不想当“小白鼠”,昆明柏德口腔确实是值得尝试的选择之一。不仅让你牙亮起来,也让钱包不太“疼”。从口腔检查到种牙正畸,全流程一个机构解决,省心省事!牙不等人,你打算啥时候去整牙?

评价(已有人点评)